大阪市鶴見区で歯科治療を行う歯医者・歯科医院

〒538-0053 大阪府大阪市鶴見区鶴見5-2-2 アルバグランデ1階

鶴見緑地線「今福鶴見駅」より徒歩11分
大阪シティバス86系統「鶴見5丁目」停留所より徒歩3分

診療時間
10:00~13:00
14:30~19:00
救急の部

▲:14:30~17:00 ◯:救急対応あり
休診日:水曜(救急の部は除く)
※第1・3日曜は診療しております。
救急歯科外来の診療時間はこちら

ご予約・お問合せはこちらへ

06-4255-6685

受け口・反対咬合の症例

※自費診療になります。

大阪市鶴見区・今福鶴見駅近くの「アティ歯科クリニック」が、受け口・反対咬合の症例をご紹介します。

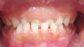
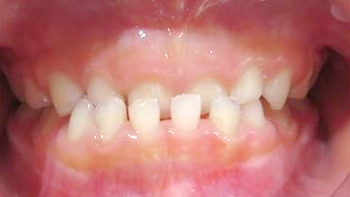
症例1

Before

大阪市鶴見区の受け口・反対咬合の症例
大阪市鶴見区の受け口・反対咬合の症例
大阪市鶴見区の受け口・反対咬合の症例

After

大阪市鶴見区の受け口・反対咬合の症例

7歳、男の子、大阪市在住

左側の前歯が反対に噛み合う反対咬合(受け口)がみられました。

治療の期間・回数:4回
1回目:歯型をとり、噛み合わせを確認
2回目:治療内容のご説明・ご相談
3回目:プレオルソの調整
4回目:反対咬合(受け口)が改善したため終了

治療の価格:77,000円(コンサル・診断料22,000円・装置代(プレオルソ)55,000円)

症例2

Before

大阪市鶴見区の受け口・反対咬合の症例
2021/05/14
大阪市鶴見区の受け口・反対咬合の症例
2021/06/10
大阪市鶴見区の受け口・反対咬合の症例
2021/09/07

Afte

大阪市鶴見区の受け口・反対咬合の症例
大阪市鶴見区の受け口・反対咬合の症例
大阪市鶴見区の受け口・反対咬合の症例

5歳、男の子、大阪市在住

反対咬合(受け口)がみられ、前歯部を中心に噛み合わせの不正が確認されました。定期的な管理とケアを継続していただいた結果、3か月後のリコール時には反対咬合(受け口)が改善されていました。

治療の期間・回数:3か月
治療の価格:77,000円(コンサル・診断料22,000円・装置代(プレオルソ)55,000円)

今福鶴見駅近くで矯正歯科をお探しなら、大阪市鶴見区の患者さまに多くご利用いただく「アティ歯科クリニック」へ。矯正の種類や値段について、丁寧にご説明いたします。

大阪市鶴見区の受け口・反対咬合の症例

医療法人アティ歯科クリニック 院長 冨田 晃彦

資格
  • 歯科医師
  • 歯科医師臨床研修指導歯科医
  • 日本補完代替医療学会認定「補完代替医療学識歯科医」

検診・歯石とり・歯のクリーニング・フッ素塗布などもご予約いただけます。3か月先のご予約もお気軽にどうぞ。

06-4255-6685

診療時間

 
午前
午後
救急

午前:10:00~13:00
午後:14:30~19:00
▲:14:30~17:00
◯:救急対応あり
救急歯科外来の診療時間はこちら

※第1・3日曜は診療しております。ほかはほぼ救急対応にあたっています。
休診日:水曜(救急の部は除く)

06-4255-6685

〒538-0053
大阪府大阪市鶴見区鶴見5-2-2 アルバグランデ1階

鶴見緑地線「今福鶴見駅」より徒歩11分
大阪シティバス86系統「鶴見5丁目」停留所より徒歩3分